menu
AWESOME! NICE LOVED LOL FUNNY FAIL! OMG! EW!
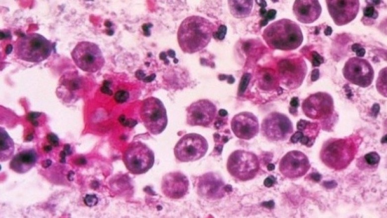
Caso de ameba "come cerebros" provoca emisión de alerta en Florida
Hora local en Tijuana:
Caso de ameba "come cerebros" provoca emisión de alerta en Florida
Las infecciones por Naegleria fowleri son extremadamente raras, pero provocan una inflamación en el cerebro que a menudo es mortal

¿tu reaccion?

conversaciones de facebook



discusion



Ensenada Online incorpora contenido informativo a través de fuentes RSS públicas, como las provistas por El Informador. Todos los derechos de autor pertenecen a sus respectivos medios. Este portal no reproduce contenido completo y siempre enlaza a la fuente original. Para cualquier aclaración o solicitud de derechos, por favor contáctenos.